当前位置:肿瘤瞭望>资讯>正文

2023 优例共赏丨一例二线使用斯鲁利单抗联合白蛋白紫杉醇治疗广泛期小细胞肺癌患者病例分享

作者:肿瘤瞭望   日期:2023/5/5 13:18:02  浏览量:11187

肿瘤瞭望版权所有,谢绝任何形式转载,侵犯版权者必予法律追究。

肺癌是肿瘤相关死亡率最高的恶性肿瘤。小细胞肺癌是肺癌之中侵袭性最强的一种亚型,约占所有肺癌患者的15-20%,与吸烟关系密切。此类肿瘤恶性程度高、倍增时间短、易发生远处转移,初次就诊时即有约2/3患者被诊为广泛期。广泛期小细胞肺癌(extensive-stage SCLC,ES-SCLC)的有效治疗方案有限。

▌病例作者:山西省肿瘤医院武芳芳
▌点评专家:山西省肿瘤医院苏文忠
 
摘要
 
肺癌是肿瘤相关死亡率最高的恶性肿瘤[1]。小细胞肺癌是肺癌之中侵袭性最强的一种亚型,约占所有肺癌患者的15-20%,与吸烟关系密切。此类肿瘤恶性程度高、倍增时间短、易发生远处转移,初次就诊时即有约2/3患者被诊为广泛期。广泛期小细胞肺癌(extensive-stage SCLC,ES-SCLC)的有效治疗方案有限。既往一线标准治疗方案为依托泊苷或伊立替康联合铂类药物化疗,有效率高达60-80%,但患者往往短期内出现复发、转移,中位生存期仅有10个月左右[2,3],5年总生存率仅为1%左右。近几年来,随着PD-1和PD-L1等多种免疫检查点抑制剂(Immune checkpoint inhibitors,ICIs)的临床应用,免疫联合化疗已经成为ES-SCLC患者新的治疗选择,改变了ES-SCLC的治疗模式。PD-L1抑制剂联合化疗较单纯化疗可使ES-SCLC患者中位OS延长2-2.5个月[2-4]。而在2022年ESMO-Asia上公布的ASTRUM-005研究更新结果中,斯鲁利单抗联合化疗组患者中位OS达15.8个月,较化疗组(11.1个月)延长了4.7个月。斯鲁利单抗作为上海复宏汉霖首款自主研发的创新生物药PD-1抑制剂,是目前首个且唯一一个在ES-SCLC治疗中获得成功的PD-1抑制剂。此外,斯鲁利单抗的疗效已在食管癌、肠癌、宫颈癌等多个瘤种中得到验证。本文通过分享一例二线应用斯鲁利单抗联合白蛋白紫杉醇治疗的广泛期小细胞癌患者真实用药经历,谨为临床工作者诊疗提供参考。
 
病史简介
 
基本情况:申某,男,78岁,66kg
 
首诊日期:2022-03-28
 
主诉:间断性胸痛1月,头痛3天。
 
既往史:既往有高血压病史,口服“尼福达”治疗。无糖尿病史,无冠心病史,否认外伤史,否认输血史,无食物、药物过敏史。
 
个人史:吸烟50年,平均20支/天;否认饮酒史。
 
婚育史:已婚,育有1子1女。
 
家族史:否认家族遗传病史,否认肿瘤家族史。
 
查体:PS评分1分。双肺叩诊呈清音,双肺听诊未闻及干湿啰音,全身浅表淋巴结未触及肿大。
 
▌影像学检查:
 
2022-3超声:肝右叶钙化灶可能;前列腺增生伴钙化。甲状腺左叶体积小伴中下份囊实性结节一C-TIRADS 3类;甲状腺右叶多发囊性、囊实性结节--C-TIRADS 2-3类。
 
2022-03-30头颅平扫MR:右侧丘脑、双侧额叶、侧脑室旁多发脑缺血灶、腔隙性梗塞灶,必要时建议增强扫描进一步检查;双侧额部硬膜下积液。
 
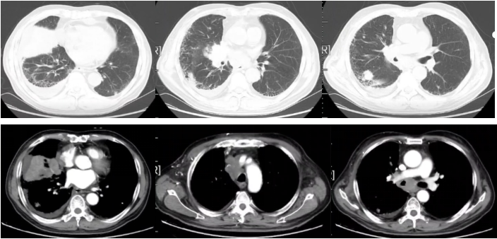
2022-03-31胸部平扫+增强CT:右肺中叶占位(2.6×4.7cm),考虑肺癌,双肺多发小结节(右肺中叶较大者长径约1.8cm),考虑转移。右侧锁区、纵隔及右肺门淋巴结增大(较大者短径约3.2cm),考虑转移。双肺间质性炎。左肺下叶钙化灶。右侧胸腔积液,心包积液。冠状动脉硬化斑块形成。
 
图1
 
2022-04-13病理诊断:(右肺穿刺)低分化癌,结合免疫组化结果,符合神经内分泌癌,部分区域符合小细胞癌,部分区域胞浆丰富可见核仁,不能除外混合性小细胞癌。
 
免疫组化结果:AE1/AE3(+),Ki67(约70%+),CK7(部分+),TTF-1(+),Napsin-A(-),CK5(-),CD56(+),Syn(+),CgA(灶+),P40(-),P63(-),CD117(+),LCA(-)。
 
▌诊断:
 
1.右肺小细胞癌(cT2N3M1aⅣa期)
 
  双肺转移
 
  胸腔积液
 
  心包积液
 
2.高血压病
 
诊疗经过

▌一线治疗:
 
2022-04-14、05-15、06-17行3周期化疗,具体为:依托泊苷0.1g d1-5+卡铂0.6g d1。
 
▌一线治疗疗效评价:
 
2022-07患者出现憋气、呼吸困难。
 
查体:ECOG PS 1分。颜面部浮肿,颈部静脉充盈。
 
 
2022-07-20颈部超声:右颈IV区数枚淋巴结肿大—MT可能;左颈IV区淋巴结显示。
 
2022-07-20胸部平扫+增强CT:恶性肿瘤维持性化学治疗后,较2022-3-31胸部CT旧片,右肺中叶占位(5.3×8.1cm)增大;双肺转移结节(较大者位于右肺上叶,长径约2.2cm)增大、增多;纵隔及右肺门淋巴结增大,上腔静脉受侵;右侧胸腔积液增多;余未见显著变化。附见,胰尾占位,腹膜后淋巴结增大,转移可能。
 
图2
 
疗效评价:PD。

▌二线治疗:
 
2022-07-22至2022-12-13行第6周期免疫联合化疗,具体方案为:斯鲁利单抗200mg d1+白蛋白紫杉醇200mg d1、5。
 
2021-09-16行右侧胸腔穿刺置管引流术,未行胸腔灌注治疗。
 
2023-01因疫情原因未能返院输注斯鲁利单抗。
 
2023-02-28静脉输注斯鲁利单抗注射液200mg d1治疗1周期。
 
▌二线治疗疗效评价:
 
2周期斯鲁利单抗联合白蛋白紫杉醇治疗后,患者症状明显缓解。
 
图3
 
2022-09-17胸部平扫CT:恶性肿瘤维持性化学治疗后,较2022-7-20胸部CT旧片,右肺中叶占位(7.3×4.4cm)缩小;双肺部分结节增大;纵隔及右肺门淋巴结缩小;主动脉左侧旁(2-22)淋巴结稍增大:右侧胸腔积液增多;左侧新增胸腔积液;胸壁水肿增厚,双侧腋窝小淋巴结,请结合临床;余未见显著变化。附见,胰尾较前稍增粗:肝S4段新增低密度小结节,请结合腹部相关检查。
 
疗效评价:SD。
 
2022-11-16胸部平扫CT:恶性肿瘤维持性化学治疗后,较2022-9-16日胸部CT,右肺中叶占位(2.2×1.9cm)缩小;双肺大部分结节消失;右侧胸腔积液减少,左侧胸腔积液消失;纵膈及双侧腋窝淋巴结缩小;扫描层面内肝脏结节本次未见明确显示,胰腺结节缩小;余较前变化不大。
 
疗效评价:PR。
 
2023-02-28胸部+上下腹增强CT:恶性肿瘤维持性化学治疗后,较2022-11-15日胸部CT,右肺中叶斑片影范围增大;右肺门淋巴结增大;右侧胸腔积液增多:心包积液减少;双肺间质性改变同前,余较前变化不大。胰尾旁多发结节,考虑MT可能。肝门区及腹膜后淋巴结稍大。左侧肾上腺结节样增厚,双侧部分肋骨、右侧髂骨高密度影,建议定期复查。肝S7段脂肪瘤。
 
图4
 
2023-02-24颅脑增强MR:较2022-3-30日MR旧片,新增左侧侧脑室旁异常信号影,考虑腔隙性梗塞灶;余未见明显变化。
 
▌不良反应:
 
2022-07-29血常规:血红蛋白75 g/L,化疗停止后逐渐恢复至104 g/L。
 
▌病例小结:
 
图5
 
该例患者为高龄、广泛期小细胞肺癌,初次就诊时合并双肺多发转移,且合并胸腔积液、心包积液等不良预后因素,预期生存短。患者一线采用经典的EP方案化疗,但疗效欠佳,PFS仅有3个月,且症状无明显缓解。
 
根据2022CSCO指南,广泛期小细胞肺癌患者≤6个月复发,二线治疗方案可选择拓扑替康或参加临床研究。但该患者对EC方案不敏感,且既往研究中二线采用拓扑替康疗效有限,且毒性较大。此外,该患者78岁,影像学可见合并双肺肺气肿、胸腔积液及心包积液,肺功能欠佳,体质较差,基于2022年ASTRUM-005研究公布的优异数据,综合考虑后,二线采用斯鲁利单抗联合白蛋白紫杉醇治疗。用药2周期后,患者肿瘤原发灶较前缩小,但转移灶却有不同程度增大,综合评效SD;用药4周期后肿瘤出现明显退缩,疗效达到PR。而肿瘤出现先增大后缩小这一反应模式是既往细胞毒药物治疗时代所不存在的,是肿瘤对免疫治疗的一种独特反应模式。在治疗过程中,患者未出现明显的免疫相关不良反应,耐受性良好。
 
专家点评
 
小细胞肺癌是生物学行为和预后最差的一种,ES-SCLC患者的治疗历来是肿瘤治疗中的难题。PD-1/PD-L1抑制剂的出现延长了ES-SCLC患者的中位生存期,1年、2年OS率较采用单纯化疗者均有显著提升。其中免疫优势人群应用免疫治疗后可获得长期生存,晚期NSCLC患者5年OS率显著高于非免疫优势人群。但免疫治疗的介入时机尚无定论,目前各项大型RCT研究均采用一线免疫联合化疗的治疗模式,推荐尽早接受免疫治疗。
 
此外,老年患者往往合并基础疾病,体质较差,罹患肿瘤后往往无法耐受标准化疗带来的毒副作用,临床决策时需谨慎选择治疗方案。2022CSCO小细胞肺癌诊疗指南推荐,对于老年SCLC患者,不能仅根据年龄确定治疗方案,根据机体功能状态治疗治疗更有意义。
 
本例患者属于高龄人群,基础状况欠佳,且初始化疗无效,属于难治性小细胞肺癌患者。此类患者往往对大多数化疗药物均不敏感,预后极差。患者二线采用免疫联合化疗的治疗策略后,原发病灶很快出现退缩,但患者转移灶对免疫治疗的初始反应与肿瘤原发灶不同。2周期治疗后,影像学上呈现出各转移灶出现不同程度的增大的现象。在2009年有研究者[5]报道了3例晚期黑色素瘤患者接受伊匹木单抗单药治疗后出现的新型反应模式:1.持久的SD(超过20个月);2.PD后出现持久PR(假进展)。此后在接受PD-1/PD-L1抑制剂治疗的患者中也观察到同样的反应模式。此例患者转移灶的影像学表现与报道中的反应模式相同。临床实际中,该患者后续继续接受2周期斯鲁利单抗联合化疗后,转移灶出现了大幅度退缩,部分转移灶基本消失,部分残留斑片影,充分证实了斯鲁利单抗在抗肿瘤过程中发挥的作用。虽然患者2022-12治疗后因疫情缘故未能持续进行抗肿瘤治疗,但患者病情并未出现快速进展,免疫治疗的应用延缓了这位患者的病情进展速度。时隔2月接受斯鲁利单抗单药维持治疗至今,患者尚未出现病情复发、进展,二线治疗PFS已达9个月,免疫治疗实实在在地延长了此例患者的生存期。
 
这一真实世界中应用斯鲁利单抗联合化疗的ES-SCLC案例,为斯鲁利单抗的临床应用积累了真实数据,并进一步证明了斯鲁利单抗能够为ES-SCLC患者带来理想的疗效。斯鲁利单抗为众多肺癌患者带来了更为多样化、个体化的抉择机会,而斯鲁利单抗的优异表现,无疑使其成为ES-SCLC患者的优化选择。
 
▌参考文献:
 
[1]Siegel R L,Miller K D,Jemal A.Cancer statistics,2020[J].CA Cancer J Clin,2020,70(1):7-30.
 
[2]Paz-Ares L,Chen Y,Reinmuth N,et al.Durvalumab,with or without tremelimumab,plus platinum-etoposide in first-line treatment of extensive-stage small-cell lung cancer:3-year overall survival update from CASPIAN[J].ESMO Open,2022,7(2):100408.
 
[3]Liu S V,Reck M,Mansfield A S,et al.Updated Overall Survival and PD-L1 Subgroup Analysis of Patients With Extensive-Stage Small-Cell Lung Cancer Treated With Atezolizumab,Carboplatin,and Etoposide(IMpower133)[J].J Clin Oncol,2021,39(6):619-630.
 
[4]Wang J,Zhou C,Yao W,et al.Adebrelimab or placebo plus carboplatin and etoposide as first-line treatment for extensive-stage small-cell lung cancer(CAPSTONE-1):a multicentre,randomised,double-blind,placebo-controlled,phase 3 trial[J].Lancet Oncol,2022,23(6):739-747.
 
[5]Di Giacomo A M,Danielli R,Guidoboni M,et al.Therapeutic efficacy of ipilimumab,an anti-CTLA-4 monoclonal antibody,in patients with metastatic melanoma unresponsive to prior systemic treatments:clinical and immunological evidence from three patient cases[J].Cancer Immunol Immunother,2009,58(8):1297-306.
 
苏文忠教授
中国医学科学院肿瘤医院山西医院
呼吸三科主任主任医师
感染科副主任
山西省抗癌协会精准治疗专业委员会主任委员
山西省抗癌协会肿瘤支持治疗专业委员会副主任委员
山西省医师协会肿瘤心脏专业委员会副主任委员
中国中药协会肿瘤药物研究委员会常委
北京肿瘤防治研究会转化医学分会常委
山西省抗癌协会肺癌专业委员会常委
山西省抗癌协会化疗专业委员会委员
发表发表SCI、国家级、省级文章10余篇。
 
武芳芳
山西省肿瘤医院
山西省肿瘤医院呼吸科主治医师
山西医科大学硕士生研究生
山西省抗癌协会肺癌精准治疗专业委员会委员
山西省老年学会肺癌治疗专业委员会委员

本内容仅供医学专业人士参考


小细胞肺癌

分享到: 更多